我院口腔科有一流的医师团队,目前有高级职称医师2人,及多名高年资主治医师、住院医师组成,人员梯队结构合理。科室有先进的设备配置,先后引进数十套先进的医疗设备,包括全进口综合治疗台、国际顶尖品牌的数字化CBCT机、牙片机、种植设备、超声骨刀、激光治疗仪、消毒炉、机用根管治疗手机、根管长度测量仪、热牙胶充填等,保证了科室业务更快更好地发展和医教研的顺利进行。科室有科学的消毒体系,严格按照市口腔质控中心的要求,消毒流程完善,实现一人一机,保证每位患者都使用严格消毒的手机、钻头等器械。
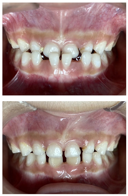
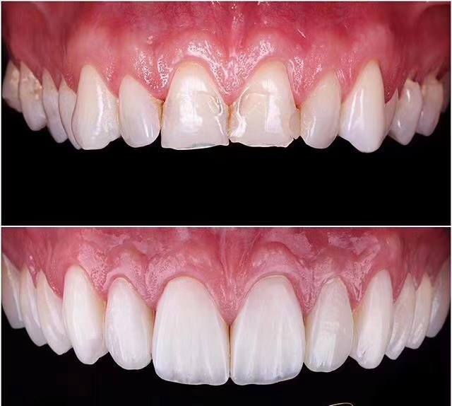
口腔科主要开展牙体牙髓治疗、牙周治疗、牙齿美容、齿槽外科治疗、义齿修复、种植牙、正畸治疗、儿童口腔治疗、口腔粘膜病的中西医结合治疗等多个业务项目。其中特色的种植牙业务及正畸治疗、牙体牙髓治疗项目,都是区内领先。
此外,上海市中西医结合医院口腔科在院领导关心指导下,建立了一支具有丰富教学经验,具备合理学历结构和年龄梯队的师资队伍,组成了较稳定的教学科研梯队。口腔科学教研室作为一个集教学、医疗、科研为一体的学术团队,2002年以来共有科研10余项。在国家核心期刊发表论文20余篇。曾获“虹口区文明班组”和虹口区“共青团号”称号。多次在相关核心期刊发表学术论文20余篇,涉及口腔疾病的诊治等多个方面。
口腔科将始终秉承严谨的科学态度、优良的医疗服务品质,团结协作的精神,为中西医结合医院的不断发展作出不懈的努力!


